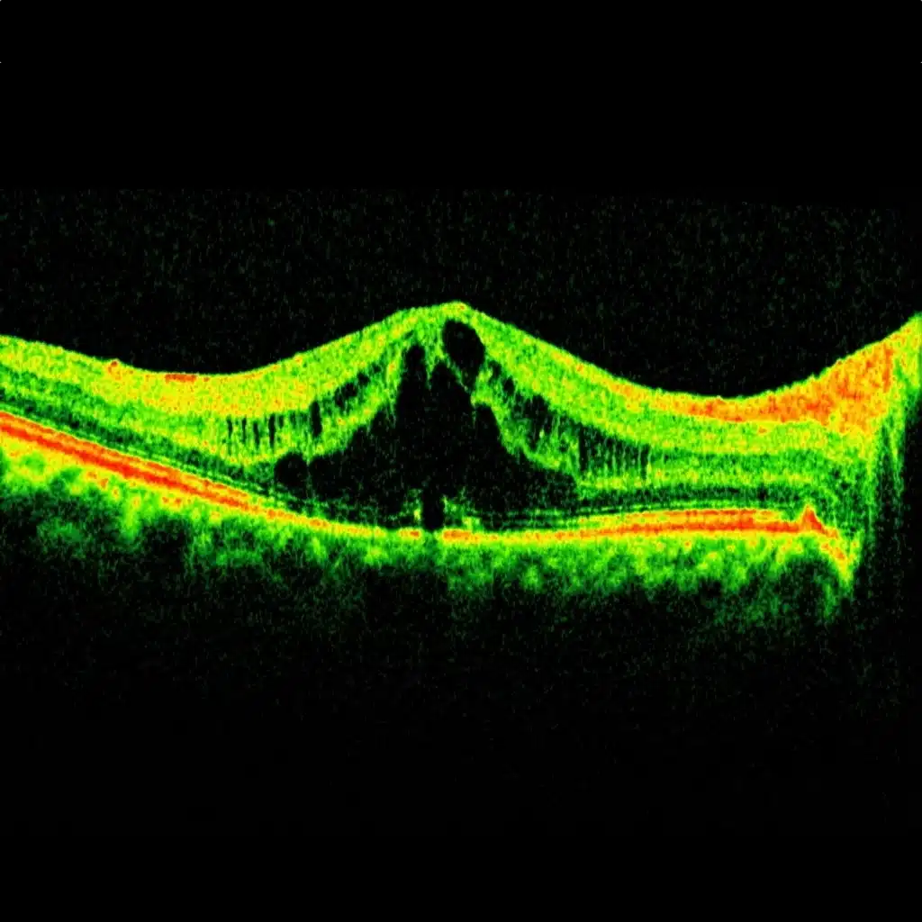
DMLA et OCT-angiographie : un examen clé pour analyser les néovaisseaux maculaires
DMLA et OCT-angiographie L’OCT-angiographie est une technique d’imagerie récente qui permet de visualiser la circulation sanguine de la rétine sans […]
Tout savoir sur les pathologies rétiniennes médicales (DMLA, rétinopathie diabétique, occlusions veineuses rétiniennes…), par le Dr Julien Gozlan, chirurgien ophtalmologue à Paris 16.
DMLA et OCT-angiographie L’OCT-angiographie est une technique d’imagerie récente qui permet de visualiser la circulation sanguine de la rétine sans […]
Syndrome d’Irvine-Gass Le syndrome d’Irvine-Gass correspond à un oedème maculaire cystoïde survenant après une chirurgie de la cataracte. Il se
Choriorétinite séreuse centrale (CRSC) La choriorétinite séreuse centrale (CRSC) est une maladie de la rétine qui touche surtout l’adulte jeune
Corps flottants Les corps flottants, souvent décrits comme des “mouches volantes” ou de petites toiles d’araignee, sont tres frequents et
Décollement postérieur du vitré Le décollement postérieur du vitré est une situation très fréquente après 50 ans. Le gel transparent
Maculopathie tractionnelle myopique La maculopathie tractionnelle myopique est une complication de la forte myopie qui touche la macula, zone centrale
DMLA et cataracte La dégénérescence maculaire liée à l’âge (DMLA) et la cataracte sont deux maladies oculaires très fréquentes après
Causes de la DMLA La dégénérescence maculaire liée à l’âge (DMLA) est une maladie chronique de la macula, la partie
Oedème maculaire diabétique L’oedème maculaire diabétique est une complication fréquente du diabète qui touche la macula, portion centrale de la
OBVR (Occlusion de Branche Veineuse Rétinienne) L’occlusion de branche veineuse rétinienne (OBVR) est un trouble de la circulation du sang